2. Eating disorders and foodborne diseases
The food illnesses can be produced by malnutrition or by food poisoning. The first class of illnesses is caused by a not well-balanced diet or by eating disorders as bulimia or anorexia. The second group is produced by microorganisms living in food or by noxious chemical substances that are contained in food.
a) Malnutrition. This illness is caused by an unhealthy diet. Malnutrition could be produced by desnutrition -eating less food than someone needs-, over-nutrition -eating more than it is necessary- or when somebody has a default of some specific types of nutrients (deficiency diseases).
a1) Desnutrition. Some examples of this group of illnesses are rickets (its origin is a deficiency in phosphorous and calcium elements), anorexia (it is an eating disorder that causes the person to see himself always overweight) or bulimia (it usually appears associated with anorexia, and the sick people eat a great amount of food and after that, they vomit all the food to avoid to gain weight).
In this LINK you can read an article about the worst case of anorexia in the world.
a2) Over-nutrition. Obesity is the main illness in this group, and consists on an excess o
f body fat. It is an important risk factor of many others illnesses such as hypertension, diabetes, digestive cancers...
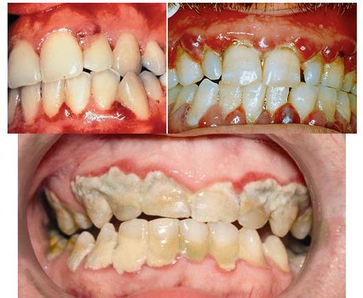
a3) Deficiency diseases. Some illnesses of this group are pellagra (deficiency in vitamin A) or scurby (deficiency in vitamin C). The hypervitaminosis is an excess of non-soluble vitamins.
![]() |
|
| Effects of scurby |
Effects of pellagra |
b) Food poisoning. These kinds of illnesses are produced by ingestion of microorganisms such as bacteria, viruses o parasites or by toxic chemical substances present in food.
b1) Salmonellosis. It is produced by bacteria Salmonella. This type of bacteria is common in contaminated water, food with egg in its composition and meats.The symptoms are headache, sickness and diarrhea.
b2) Botulism. It is produced by bacteria Clostridium botulinum and the symptoms are neurological disorders and it could be lethal. Be careful with canned food because it could be a source of this sickness.
![]() |
|
| Salmonella |
Botulism poisoning |
After reading the article
What do you think about anorexia? Do you think it is a illness or not?
Write a text explaining your opinion and send it to your teacher.

